หมอเคยพูดไปแล้วว่าสมองคนเรามี 2 ข้าง ในคนส่วนใหญ่สมองข้างซ้ายจะถือว่าเป็นข้างที่ “สำคัญ” เพราะเป็นด้านที่เกี่ยวข้องกับภาษาและความผิดปกติที่เกิดขึ้นจะเห็นได้ชัดเจน เช่น พูดไม่ได้ ฟังไม่เข้าใจ ดังนั้นการผ่าตัดเนื้องอกที่เกิดกับสมองข้างซ้ายหมอผ่าตัดจะมีความกังวลมากว่าผู้ป่วยจะผิดปกติหรือไม่ และมีโอกาสต้องทำผ่าตัดแบบตื่นรู้ตัวในกรณีที่ใกล้กับบริเวณที่ “สำคัญ”
แต่กับสมองข้างขวาแล้ว หมอผ่าตัดส่วนใหญ่มักจะไม่ทำผ่าตัดแบบตื่นเพราะถือว่าเป็นสมองข้างที่ “ไม่สำคัญ” เนื่องจากความผิดปกติที่เกิดขึ้นจะเห็นได้ไม่ชัดเจน ผู้ป่วยจะพูดอ่านเขียนได้ไม่พิการ แต่จะมีลักษณะ “แปลก” (การที่ไม่สามารถรับรู้อารมณ์ของผู้อื่นก็ทำให้ผู้ป่วยมีลักษณะ “แปลก”ไปเช่นกัน) และอาจส่งผลต่อคุณภาพชีวิตผู้ป่วยได้
ลักษณะเด่นของสมองข้างขวาอย่างหนึงก็คือเป็นสมองที่เด่นด้านการควบคุม “ความใส่ใจ” (attention) เนื่องจากข้อมูลที่สมองเราได้รับในแต่ละวินาทีนั้นมากมายมหาศาล ทั้งตา หู จมูก ลิ้น ทำให้ไม่สมองไม่สามารถประมวลผลให้เรารับรู้ทั้งหมดได้พร้อมๆกัน ความใส่ใจนี้เองจะทำหน้าที่เหมือนสปอตไลต์ส่อง “เพ่ง” ให้เห็นบริเวณนั้นชัดเจนขึ้นนั่นเอง (ท่านผู้อ่านลองนึกถึงว่ามีคนพูดพร้อมกันหลายๆคน เราจะสามารถตั้งใจฟังได้แค่คนเดียว อันอื่นก็จะจับใจความไม่ได้ใช่ไหมครับ) ผู้ป่วยที่สูญเสียสมองข้างขวาจะมีอาการ “ไม่ใส่ใจ” หากเป็นมากผู้ป่วยจะไม่สนใจร่างกายและสิ่งแวดล้อมซีกซ้ายของตนเองเลยเปรียบเสมือนโลกของผู้ป่วยนั้น “หายไปครึ่งหนึ่ง” หากเป็นน้อยจะเกิดอาการไม่สนใจเมื่อมีสิ่งกระตุ้นพร้อมๆกันทั้งทางด้านซ้ายและขวา ซึ่งอาจทำให้เกิดปัญหาได้เช่น ตอนที่ผู้ป่วยขับรถ (นึกสภาพถนนบ้านเราที่พร้อมจะมีเหตุไม่คาดฝันตลอดเวลา)
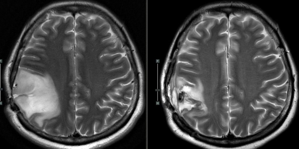
ผู้ป่วยรายนี้เป็นเนื้องอกชนิดกลีโอมา (glioma) ของสมองซีกขวา ได้รับการผ่าตัดแบบตื่นรู้ตัวเพื่อรักษาการทำงานของสมองซีกขวา (ซึ่งจะถือว่า “สำคัญ” ไหม ผู้อ่านคงต้องตัดสินใจเองนะครับ) หลังผ่าตัดช่วงแรกแม้จะมีอาการไม่ใส่ใจโลกข้างซ้ายเมื่อมีสิ่งกระตุ้นทั้ง 2 ข้าง แต่เนื่องจากเราเก็บการทำงานของสมองส่วนใหญ่ไว้ได้ ผู้ป่วยค่อยๆมีอาการดีขึ้นชัดเจนในเวลาต่อมา (ในขณะที่หากเราตัดเนื้องอกออกไปมากกว่านี้แค่ไม่กี่ CC ผู้ป่วยอาจจะเสียความใส่ใจนี้ไปแบบถาวรเลย)


ผศ.นพ.โชติวัฒน์ ตันศิริสิทธิกุล
คณะแพทยศาสตร์ศิริราชพยาบาล
