ผศ.นพ.โชติวัฒน์ รับตรวจประเมินและให้คำปรึกษาเกี่ยวกับปัญหาและการผ่าตัดทางประสาทศัลยศาสตร์ทั่วไป รวมถึงปัญหาเฉพาะทางเกี่ยวกับเนื้องอกในสมอง เนื้องอกฐานกระโหลกศรีษะ และเนื้องอกต่อมใต้สมอง ดังต่อไปนี้
Dr. Chottiwat offers clinical evaluation and surgeries for common neurosurgical problems, with expertise in brain tumor, skull base tumor and pituitary tumor surgery

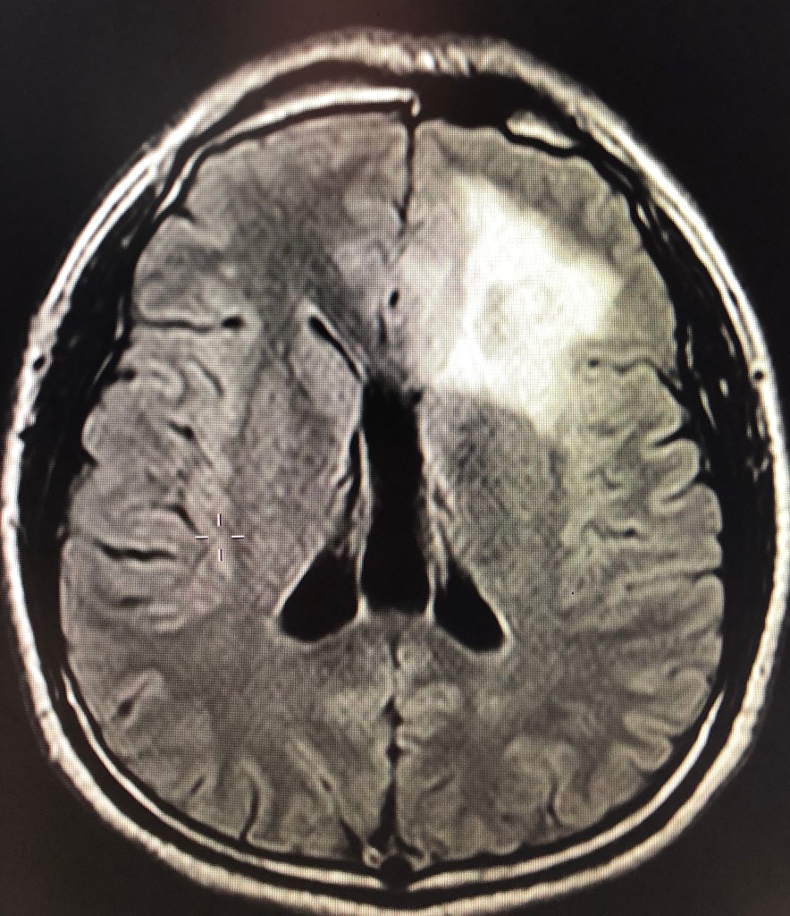
- เนื้องอกในสมอง(Brain Tumor)
- เนื้องอกชนิดกลีโอมา(Glioma)
- เนื้องอกชนิดร้ายแรง(Glioblastoma)
- มะเร็งแพร่กระจายมาที่สมอง(Brain metastasis)
- เนื้องอกในสมองที่อยู่ในโพรงน้ำเลี้ยงสมอง(Intraventricular tumor)
- เนื้องอกสมองชนิดอื่นๆ
- การผ่าตัดเนื้องอกสมองแบบตื่นรู้ตัวและทดสอบการทำงานของสมอง(Awake craniotomy with brain mapping)

- เนื้องอกฐานกระโหลกศีรษะ(Skull Base Tumor)
- เนื้องอกต่อมใต้สมอง(Pituitary adenoma)
- โรคอะโครเมกาลี(Acromegaly)
- โรคคุชชิง(Cushing’s disease)
- ภาวะเลือดออกในเนื้องอกต่อมใต้สมอง(Pituitary apoplexy)
- เนื้องอกกระดูกชนิด Chordoma
- เนื้องอกเยื่อหุ้มสมอง (Meningioma)
- เนื้องอกเส้นประสาทสมอง (Schwannoma)
- เนื้องอกบริเวณเบ้าตา(Orbital tumor)
- ภาวะน้ำเลี้ยงสมองและไขสันหลังรั่ว(Cerebrospinal fluid leakage)

- อื่นๆ(Others)
- เส้นเลือดในสมองแตก(Intracerebral hemorrhage)
- เส้นเลือดสมองโป่งพอง(Cerebral Aneurysm)
- เส้นเลือดผิดปกติในสมอง(AVM, Cavernoma)
- การบาดเจ็บของศีรษะและไขสันหลัง (Head and Spinal injury)
- โรคลมชัก (Epilepsy)
- โรคน้ำคั่งในโพรงสมอง (Hydrocephalus, Normal Pressure Hydrocephalus/NPH)
- การติดเชื้อในระบบประสาทส่วนกลาง(CNS infection)
Available for Consultation
