โรคคุชชิงนี้เกิดจากการที่เนื้องอกต่อมใต้สมองชนิดที่สร้างฮอร์โมนสเตียรอยด์ออกมามากเกินไป(ในรายละเอียดจริงๆคือสร้างฮอร์โมนเพื่อมาควบคุมการหลั่งฮอร์โมนสเตียรอยด์ที่อวัยวะอื่นอีกที) ซึ่งฮอร์โมนเสตียรอยด์นี้จัดเป็นฮอร์โมนที่ร่างกายจะหลั่งออกมาในภาวะเครียดเพื่อให้พร้อมต่อการตอบสนอง(สู้หรือถอยหนี) โรคนี้จะทำให้การทำงานของร่างกายผิดปกติไปอย่างมาก เช่น หน้ากลม อ้วนกลางลำตัวแต่แขนขาลีบ ผิวหนังบางแตกง่าย ความดันเลือดสูง อ่อนเพลีย ติดเชื้อง่าย อารมณ์แปรปรวน เป็นต้น ที่สำคัญที่สุดคือระดับฮอร์โมนที่สูงกว่าปกติจะทำให้ผู้ป่วย “มีอัตราการเสียชีวิตสูงกว่าคนทั่วไป”

เมื่อแพทย์สงสัยว่าผู้ป่วยเป็นโรคนี้แล้วจะนับได้ว่าเป็นผู้ป่วย ”พิเศษ”ทีเดียว เพราะจะต้องมีขั้นตอนการวินิจฉัยที่ซับซ้อน เช่น เก็บปัสสาวะ เจาะเลือดเพื่อตรวจระดับฮอร์โมนหลายครั้ง การทำเอกซเรย์แม่เหล็กไฟฟ้า หรืออาจจะต้องถึงขั้นใส่สายสวนหลอดเลือดไปเก็บเลือดกันถึงในสมองเลยทีเดียว ผู้ป่วยยังต้องมาพบคุณหมอหลายหน่วยเช่น หมออายุรศาสตร์ต่อมไร้ท่อ หมอประสาทศัลยศาสตร์ จักษุแพทย์ หมอรังสี/รังสีรักษา เป็นต้น เรียกได้ว่าต้องมาตรวจกันจนเหนื่อยเลยทีเดียวกว่าจะวินิจฉัยโรคนี้ได้

หลักการรักษาโรคนี้ก็ยังคงประกอบไปด้วย 3 วิธี คือ การผ่าตัด การใช้ยา และการใช้รังสีรักษาเช่นเคย อย่างไรก็ตามการใช้ยาในโรคนี้ยังไม่ค่อยได้ผลดีนักในขณะที่การใช้รังสีรักษาก็ต้องรอเวลานานกว่าจะเห็นผล ดังนั้นวิธีที่ดีที่สุดในปัจจุบันก็ยังคงเป็นการผ่าตัดนั่นเอง โดยก้อนเนื้องอกในโรคคุชชิงนี้มักจะมีขนาดเล็กกว่าก้อนเนื้องอกที่แสดงอาการทางตาแต่กลับผ่าตัดได้ยากกว่า!!!
หลักการผ่าตัดในโรคคุชชิงนี้ก็มีรายละเอียดที่แตกต่างจากเนื้องอกต่อมใต้สมองทั่วไป โดยเราจะไม่ได้สนใจที่ภาพเอกซเรย์หลังผ่าตัดว่าเนื้องอกหมดหรือไม่ “แต่เราสนใจที่ผลฮอร์โมน”หลังผ่าตัดว่ากลับลงเป็นปกติหรือไม่เนื่องจากหากมีเศษเนื้องอกเหลือแม้แต่เพียงนิดเดียวผู้ป่วยก็จะไม่หาย เนื้องอกก็จะยังคงสร้างฮอร์โมนอยู่และทำให้อาการผู้ป่วยกลับเป็นซ้ำอย่างรวดเร็ว ดังนั้นโรคนี้จึงนับได้ว่าเป็นโรคที่วัดฝีมือของหมอผ่าตัดอย่างแท้จริง โดยตัวหมอเองจะใช้เทคนิคเพิ่มเติมคือการเลาะเนื้องอกออกมาทั้งก้อนและหลีกเลี่ยงการขูด รวมไปถึงการตัดผนังของเส้นเลือดดำใหญ่ที่อาจมีเนื้องอกลุกล้ำอยู่ด้วย เพื่อเพิ่มโอกาสหายขาดของผู้ป่วยให้สูงที่สุด จะเห็นได้ว่าประสบการณ์ของหมอผ่าตัดนั้นมีผลอย่างมาก

ผู้ป่วยรายนี้ผลฮอร์โมนกลับเป็นปกติหลังผ่าตัด
“ผ่าตัดเพียงครั้งเดียวรักษาโรคความดันโลหิตสูงให้หายขาดได้”
ท่านผู้อ่านอาจจะเคยได้ยินว่า “โรคความดันโลหิตสูงนั้นรักษาไม่หาย ทำได้แค่ทานยาควบคุมระดับความดันไปตลอดชีวิต” ใช่ไหมครับ คำกล่าวนี้เป็นจริงสำหรับผู้ป่วยโรคความดันโลหิตสูงส่วนใหญ่ แต่ในทางกลับกันมีผู้ป่วยส่วนน้อยที่เป็น “โรคความดันโลหิตสูงแบบมีสาเหตุ” ซึ่งสามารถรักษาได้และแพทย์จำเป็นต้องมองหาผู้ป่วยกลุ่มนี้เสมอครับ

(ได้รับความยินยอมเปิดเผยรายละเอียดจากผู้ป่วยแล้ว)
ผู้ป่วยรายนี้อายุแค่ 32 ปี ตรวจพบความดันโลหิตสูงมากตั้งแต่ต้น จำเป็นต้องทานยาลดความดันโลหิตขนาดสูงถึง 3 ชนิดจึงจะคุมความดันได้ ซึ่งการกินยาขนาดนี้ไปตลอดชีวิตคงไม่ใช่เรื่องที่น่ายินดีใช่ไหมครับ
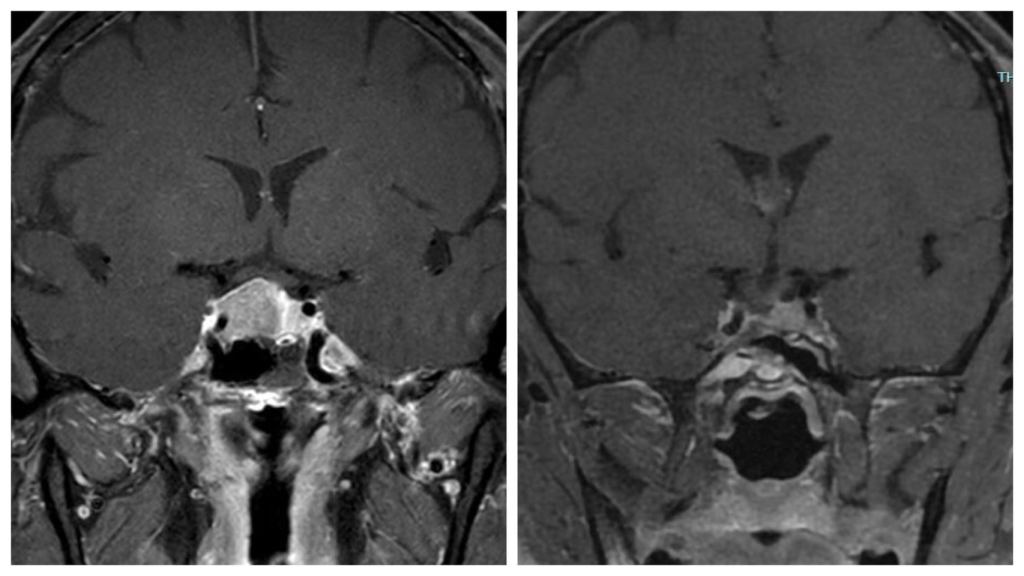
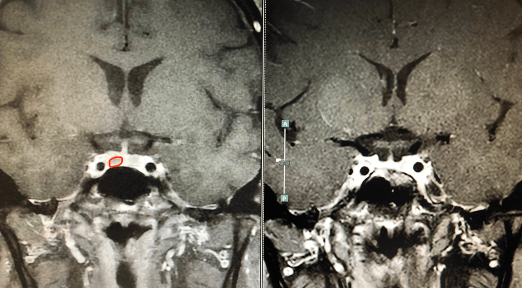
นอกจากผู้ป่วยรายนี้จะมีอายุน้อยและความดันโลหิตสูงมากแล้ว ยังพบว่ามีน้ำหนักเพิ่มขึ้นอย่างรวดเร็ว (50 ไปเป็น 67 กิโลกรัม)ร่วมกับมีลักษณะ “บวม” บริเวณกลางตัวซึ่งเป็นลักษณะเฉพาะที่ทำให้คิดถึง “โรคคุชชิง”(Cushing’s disease) เมื่อนำผู้ป่วยไปผ่านการตรวจทางห้องปฏิบัติการ (ซึ่งมีขั้นตอนมากมายดังที่หมอเคยกล่าวไปในตอนก่อนแล้ว) ก็ยืนยันว่าเป็นโรคนี้จริงร่วมกับการทำ MRI พบเนื้องอกต่อมใต้สมองที่เป็นสาเหตุดังภาพด้านล่าง

ผู้ป่วยที่เป็นโรคคุชชิงนั้นจะพิเศษกว่าผู้ป่วยความดันโลหิตสูงชนิดอื่นๆคือจะมีการสร้างฮอร์โมนความเครียดตลอดเวลา (คิดภาพเหมือนเราอยู่ในสภาพที่ไฟไหม้บ้านตลอดเวลา) ทำให้สภาพร่างกายของผู้ป่วยเปลี่ยนแปลงอย่างรวดเร็วและอายุขัยสั้นลง การรักษาโรคคุชชิงด้วยยาหรือรังสีได้ผลไม่ดี การผ่าตัดจัดเป็นการรักษาหลักของโรคนี้ซึ่งมีความ “ยาก” เนื่องจากต้องเอาเนื้องอกออกให้ “หมดเกลี้ยง”จนไม่มีเซลล์ที่สร้างฮอร์โมนเหลืออยู่เลยจึงจะได้ผล นับว่าเป็นการผ่าตัดที่วัด “ฝีมือ”ของหมอผ่าตัดโดยตรง (อาจารย์ของหมอเคยกล่าว (แบบขำๆ) ว่า “หากผ่าโรคนี้แล้วไม่หาย เหมือนไปตีหัวคนไข้เล่น!!!”)
ผู้ป่วยรายนี้ได้รับการทำผ่าตัดโดยการส่องกล้องผ่านทางโพรงจมูกและนำเนื้องอกออกจนหมดโดยเก็บเนื้อต่อมใต้สมองส่วนอื่นไว้ได้ หลังผ่าตัดผู้ป่วยระดับฮอร์โมนต่ำตั้งแต่วันแรกๆ ระดับความดันกลับเป็นปกติสามารถหยุดยาความดันได้ทุกตัว น้ำหนักตัวลดจาก 67 เป็น 41 กิโลกรัม ไม่มีการขาดฮอร์โมนอื่นเพิ่มเติม 4ปีหลังผ่าตัดผู้ป่วยมีชีวิตเป็นปกติและไม่ต้องอาศัยการรักษาอื่นร่วมด้วยเลย
จะเห็นว่าการที่ผู้ป่วยได้รับการวินิจฉัยที่ถูกต้องและได้รับการรักษาที่เหมาะสม สามารถเปลี่ยนคุณภาพชีวิตได้อย่างมาก จากโรคที่เป็นเรื้อรังตลอดชีวิตเป็นโรคที่หายขาดจากการผ่าตัดเพียงครั้งเดียวได้เลยนะครับ
ผศ.นพ.โชติวัฒน์ ตันศิริสิทธิกุล
คณะแพทยศาสตร์ศิริราชพยาบาล
#ผ่าตัดสมอง #เนื้องอกต่อมใต้สมอง #โรคคุชชิง #cushingsdisease
