ต่อมใต้สมองเป็นต่อมขนาดเล็กซึ่งตั้งอยู่บริเวณใจกลางของฐานกระโหลกศรีษะ น้ำหนักน้อยกว่า1กรัม แต่กลับมีความสำคัญมากเนื่องจากทำหน้าที่สร้างฮอร์โมนเพื่อไปควบคุมการสร้างฮอร์โมนของต่อมไร้ท่ออื่นๆเกือบทุกระบบในร่างกาย จนมีฉายาว่า “master gland” นอกจากการสร้างฮอร์โมนแล้ว ตำแหน่งที่ต่อมใต้สมองอยู่ยังล้อมรอบไปด้วยโครงสร้างทางระบบประสาทที่สำคัญมากมาย เช่น เส้นประสาทการมองเห็น เส้นประสาทสมองที่ควบคุมการกลอกตา เส้นเลือดแดงและเส้นเลือดดำใหญ่ของสมอง ทำให้เมื่อมีพยาธิสภาพของต่อมใต้สมองอาจเกิดผลกระทบต่อโครงสร้างเหล่านี้ รวมไปถึงอาจเกิดอันตรายขณะผ่าตัดได้อีกด้วย

เนื้องอกต่อมใต้สมอง(pituitary adenoma)
เป็นเนื้องอกที่พบได้บ่อยและพบได้มากขึ้นเรื่อยๆในปัจจุบันเนื่องจากการเข้าถึงภาพรังสีวินิจฉัยที่ดีขึ้นทำให้พบเนื้องอกที่มีขนาดเล็กหรือพบโดยบังเอิญทั้งที่ไม่มีอาการ ซึ่งจากการศึกษาพบว่าเนื้องอกต่อมใต้สมองมีความชุกได้ถึง16.7%ในประชากรและมีอุบัติการณ์ประมาณ4/100,000ต่อปี. สามารถแบ่งประเภทของเนื้องอกต่อมใต้สมองสามารถได้คร่าวๆ ดังนี้- แบ่งตามขนาดซึ่งใช้มากที่สุด หากขนาดเล็กกว่า 1 ซมจัดเป็นเนื้องอกขนาดเล็ก(microadenoma) ตั้งแต่1ซมขึ้นไปจัดเป็นเนื้องอกขนาดใหญ่(macroadenoma)ซึ่งจะมีโอกาสกดเบียดโครงสร้างระบบประสาทได้มากกว่า- แบ่งตามการสร้างฮอร์โมน เป็นชนิดที่สร้างฮอร์โมน(functioning adenoma) และชนิดที่ไม่สร้างฮอร์โมน(non-functioning adenoma)
ลักษณะทางคลินิก ผู้ป่วยเนื้องอกต่อมใต้สมองมักจะมาพบแพทย์ด้วยอาการหลักๆ4ประการ คือ
1. ภาวะฮอร์โมนเกิน จากการที่เนื้องอกต่อมใต้สมองสร้างฮอร์โมนออกมามากเกินไป ทำให้เกิดเป็นกลุ่มอาการต่างๆ เช่น galactorrhea-amenorrhea syndrome(ประจำเดือนไม่มา-น้ำนมไหล)จากprolactin, acromegaly(มือเท้าใหญ่ใบหน้าเปลี่ยน)จากgrowth hormone
2. ภาวะกดเบียดเนื้อเยื่อข้างเคียง โดยก้อนเนื้องอกมักจะโตขึ้นด้านบนดันเส้นประสาทการมองเห็นโดยเฉพาะส่วนที่เป็นทางเชื่อมระหว่างเส้นประสาททั้ง2ข้าง ซึ่งผู้ป่วยมักจะมาพบแพทย์ด้วยอาการสูญเสียลานสายตาทางด้านข้างทั้ง2ข้าง (bitemporal hemianopia)โดยผู้ป่วยจะมองเห็นตรงกลางได้ปกติแต่มักชนสิ่งของเนื่องจากเสียลานสายตาทางด้านข้างไป ผู้ป่วยอาจมีอาการตามัวหรือมองไม่เห็นได้หากก้อนใหญ่มากขึ้นหรือกดที่ตัวเส้นประสาทการมองเห็นโดยตรง
3. ภาวะขาดฮอร์โมน(pituitary insufficiency) เนื่องจากก้อนเนื้องอกมีการเบียดดันและทำลายเนื้อต่อมใต้สมองส่วนที่ดี
4. ภาวะเลือดออกในก้อนเนื้องอก(pituitary apoplexy) ทำให้ความดันในก้อนเนื้องอกสูงขึ้นและก้อนเนื้องอกขยายขนาดอย่างรวดเร็วไปกดโครงสร้างรอบๆ ผู้ป่วยจะมาด้วยอาการปวดศรีษะ คลื่นไส้อาเจียน มองเห็นภาพซ้อน และการมองเห็นลดลง ภาวะนี้จัดเป็นภาวะเร่งด่วนซึ่งต้องการการวินิจฉัยที่ถูกต้องและให้การรักษาอย่างทันท่วงที

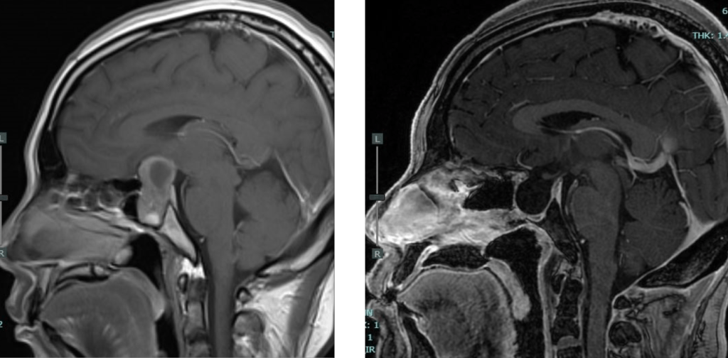
จากประวัติและการตรวจร่างกายหากแพทย์สงสัยว่าผู้ป่วยอาจมีเนื้องอกต่อมใต้สมองแพทย์จะทำการตรวจต่อด้วยการส่งภาพรังสีวินิจฉัยซึ่งมักจะทำเป็นMRIเพื่อให้ได้ข้อมูลเกี่ยวกับตัวเนื้องอกและโครงสร้างทางระบบประสาทมากที่สุด และเมื่อได้การวินิจฉัยว่าเป็นเนื้องอกต่อมใต้สมองแล้ว การรักษาต่อจะมีทีมแพทย์ที่เข้ามาเกี่ยวข้องหลายแผนกทั้งอายุรแพทย์ต่อมไร้ท่อ, ประสาทศัลยแพทย์, จักษุแพทย์, แพทย์รังสีรักษาเป็นต้น เพื่อร่วมประเมินและดูแลรักษาผู้ป่วยต่อไป
การรักษาเนื้องอกต่อมใต้สมองจะประกอบด้วย3วิธีหลักๆคือ
1. การใช้ยา โดยเฉพาะเนื้องอกที่ตอบสนองดีต่อยาเช่น prolactinoma
2. การผ่าตัด มักทำในเนื้องอกที่มีการกดเบียดเส้นประสาท, เนื้องอกชนิดที่สร้างฮอร์โมน และภาวะเลือดออกในก้อนเนื้องอก
3. การใช้รังสีรักษา มักเป็นการรักษาร่วมเพื่อควบคุมเนื้องอกในระยะยาว โดยเฉพาะในกรณีที่การใช้ยาและการผ่าตัดไม่สามารถควบคุมโรคได้

